Advierten estudios médicos no tienen mucho en cuenta a mujeres

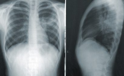
octubre 18, 2023VIENA.- Las mujeres no están suficientemente representadas en los estudios médicos que se usan para el diagnóstico y tratamiento de enfermedades pulmonares, hasta el punto de que no se tiene en cuenta cómo las dosis de […] [...]

Trump elige a Susie Wiles como jefa del gabinete en Casa Blanca
Abinader entrega muelles en Río San Juan y Cabrera para la pesca
Primer Ministro Haití seguirá en Puerto Rico, su futuro es incierto
Sacrificando a media humanidad en nombre de Dios
Dar, gesto de entrega, de promoción y ardid de avivatos
¡Cuánta corrupción! (2)
El rebase de los Gigantes y la estrepitosa caída del Licey
Conservatorio Nacional Música evidencia excelencia musical RD
SNS informa hospitales están preparados asistir emergencias
CODEBAVIF y SEABOARD celebran cena adultos mayores
Reconocen el liderazgo de la vicepresidenta Raquel Peña
CNTU destaca avances en infraestructura vial y transporte
Liguilla de la Liga Dominicana de Fútbol iniciará el 10 de enero











